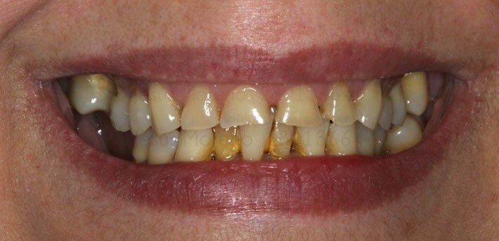
Laura vino a nuestra clínica dental en el Barrio de Hortaleza porque quería dar un cambio total a su boca. Tenía algo de complejo a sonreir y abrir su boca con naturalidad y se puno en las manos de nuestro doctor especialista en implantes y estética.
Como presentaba piezas en buen estado. Le propusimos hacer un tratamiendo de implantes y de carillas de porcelana.

Es un tratamiento mixto que combina las dos técnicas, por un lado colocamos implantes en las piezas que no podemos recuperar o que no gozan de buena salud y pueden darnos problemas a futuro. Y por otro lado en las piezas que tienen buen salud y no presentan mayores problemas que los estéticos.
Optamos por la colocación de carillas de porcelana, con ellas conseguimos un mínimo impacto sobre las piezas donde las colocamos, ya que no tenemos que tallar en exceso las piezas para su colocación.
Como ves el trabajo en laboratorio de nuestro equipo es excepcional, todas las piezas en las dos arcadas mantienen el mismo tono natural dando así un estilo global a toda la boca de la paciente.

La foto final lo dice todo, nuestro doctor consiguió un tratamiento estético perfecto y además acabar con las molestias de nuestra paciente.